2019/02/19
部分切開二重と目頭切開の症例を画像で解説!!
皆様こんにちは。ツツイ美容外科 院長の筒井です。
今日ご紹介するのは、目を上下と左右にナチュラルに少しだけ大きくされたいということでご来院された患者様です。
二重まぶたは自然な平行型をご希望でしたが、手術前の目頭は蒙古ヒダがあり、ナチュラルな平行型にするにはヒダが邪魔になったので目頭切開もすることにしました。二重の幅はあまり広すぎないように、また、まぶたの脂肪も取りたいというご希望でしたので部分切開で行うことにしました。
それでは画像で術後の経過を解説いたしましょう。
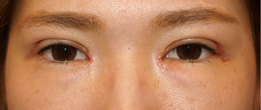
①手術前
奥二重があり、蒙古ヒダも少し見られます。
②手術当日
かなり腫れが強く、一過性の眼瞼下垂を起こしてまぶたが挙がりにくくなっています。
▼
↑切除した脂肪です。
③手術1週間後
目頭切開の抜糸をして化粧が可能になりました。二重の腫れも少し引いてきて、下垂もかなり改善しています。
手術前よりも少し幅が広く、ナチュラルな平行型の二重まぶたに仕上がっています。
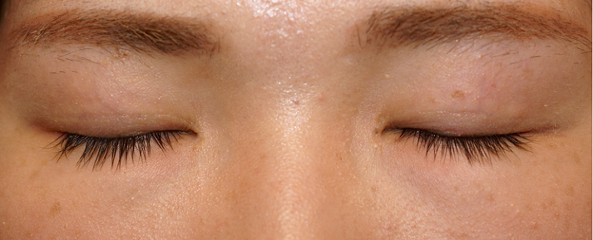
■部分切開二重と目頭切開「閉眼時」の経過画像■
①手術当日
目頭切開と部分切開の糸がついています。
②手術1週間後
抜糸が終わった直後で、軽度の内出血と傷が赤い状態です。
③手術6ヵ月後
傷跡もかなり目立たなくなっています。
■切開二重及び目頭切開のリスク■
・腫れ ・内出血 ・術後の違和感 ・眼瞼下垂 ・傷跡 ・左右差 等が考えられます。
■切開二重・目頭切開の料金■
切開二重(税込)
全切開(両方)220,000円/(片方)132,000円
部分切開(両方)176,000円/(片方)110,000円
目頭切開(税抜)
両方 176,000円/片方 110,000円
※必ず事前にカウンセリングが必要となります。その際に初診料3,000円が必要となります。
▼詳しい切開二重のぺーじはこちら▼
▼詳しい目頭切開のページはこちら▼







